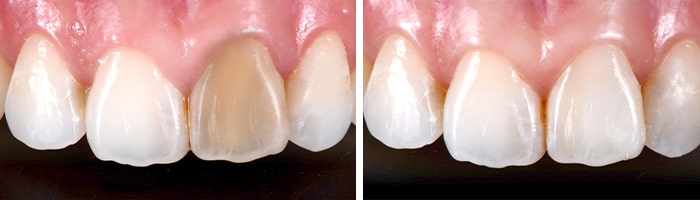
ホワイトニングとは
ホワイトニングとは、薬剤により歯を白くするための処置のことを言います。
歯の変色には様々な原因があります。歯の表面が着色、汚れで変色している場合は、クリーニングで白く改善することができます。しかし歯の内部まで変色している場合には、ホワイトニングによって歯を白くすることができます。
もともとの歯質の色が黄色っぽい人も、ホワイトニングによって理想の白さに近づけることが可能です。
補綴物を用いて歯を白くする場合には、歯を削る必要がありますが、ホワイトニングなら歯を削らずにご自身の歯そのものを白くすることができます。
どんな方におすすめ?
ホワイトニングは人工物を用いず、歯そのものの色を改善します。
歯を削らすに白く美しくしたい方にお勧めです。
ホームホワイトニング
当院のホワイトニングシステムはご家庭でカスタムトレーを用いて行うホームホワイトニングを採用しています。医院でマウスピースをお作りいただいて、ホワイトニングジェルを使用してご自宅でケアを行うものです。
ジェルを流し込んだマウスピースを、1日1~2時間装着するだけと非常に簡単で、日常生活の合間にケアを行えることが魅力です。白さを持続できる期間が他の方法に比べて長い(約1~2年)ことや、目標の色を調整できるといったメリットもあります。
またトレーは再使用ができるため、再度行う場合はジェルの費用のみになるのでメンテナンス費用を抑えられます。
施術の流れ
1.カウンセリング・
治療前の歯のチェック
現在の歯の色と、目標とする色の白さを確認します。
写真を撮影し、施術前後の色の変化を確認できるようにします。
2.専用のカスタムトレーを
歯科医院にて作製
ホワイトニングは薬剤を歯に均一に接触させるため、カスタムトレー用いる必要があります。医院で型どりをして制作します。
3.歯のクリーニングと
自宅での使用法説明
ホワイトニング開始前に一度歯の表面のクリーニングをします。表面の色素を除去することでホワイトニングの効果を一層高めます。またご自身でケアしていただくため、使用方法をご説明いたします。
4.自宅でトレー・ジェルを用いて
ホワイトニング
医院にてお渡ししたカスタムトレーとジェルを用いてホワイトニングを開始します。
ホワイトニングによって
起こる可能性のある副作用
通常痛みはありませんが、むし歯や知覚過敏症がある場合には、痛みを感じることがあります。
施術前にむし歯や知覚過敏の治療を行う必要があります。
ホワイトニングよくあるご質問
1回ホワイトニングをすると、
どのくらいの期間効果が持続しますか?
ホームホワイトニングの場合は約1~2年効果が持続することが多いです。
着色の原因となる色の濃い飲食物の摂取や喫煙により、歯の表面に色素が沈着しますので、効果が短くなることがあります。
ホワイトニングができない人、
できない歯はありますか?
妊娠中および授乳中の女性
妊娠中・授乳中の女性はホワイトニングを控えていただいたほうが良いと思われます。胎児や乳幼児へのホワイトニングの影響に関して、安全性が保障されていないためです。
無カタラーゼ症の人
無カタラーゼ症の患者さんはホワイトニングをすることはできません。カタラーゼには、ホワイトニング薬の成分の過酸化水素を分解する働きがあります。これがないと過酸化水素を分解することができず、結果として過酸化水素が体内へ残ることになります。
効果が出づらい歯はありますか?
神経が死んでいる歯はホワイトニングの効果が非常に出づらいです。周囲の歯に比べて1本だけ変色がある場合などは、このケースが疑われます。
白い歯を長持ちさせるためには
どうすればいいですか?
着色の強い飲食後は、水でゆすぐ
着色成分が多く含まれている飲食物を多く摂取すると、歯の着色もしやすくなります。色の強いもの控えるか、飲食直後に口をゆすぐことで着色成分が定着しにくくなります。
歯の定期メンテナンスを受ける
付着してすぐの着色成分であれば歯科医院で簡単に除去することができます。また、メンテナンスは虫歯予防・歯周病予防にもつながりますので、お口全体の健康的な美しさのために受診をお勧めします。
ウォーキングブリーチ
ウォーキングブリーチとは
神経を取る治療を行った歯(失活歯)は黒ずんだような見た目になることがあります。失活歯にみられる変色は、一般的なホワイトニングでは白くなりません。
ウォーキングブリーとは、一般的なホワイトニングとは異なり、失活歯の内側からホワイトニングを行うことで黒ずみの原因を取り除く術式です。神経を取る治療を行った穴から内部に薬剤を入れることで白くしていきます。
失活歯が黒くなる理由
失活歯が黒くなる原因は死んでしまった歯髄の残骸や血液中の鉄分が歯内部の細い管(象牙細管)に入り込み、その成分が黒く変色するためといわれています。歯の深部が着色して黒く見えているため、一般的な歯の表面に施すホワイトニングでは効果が得られません。
ウォーキングブリーチの施術の流れ
根管治療
まずは歯の根の治療(根管治療)を行います。根管内を徹底的に清掃することで、原因である内部の根本的な改善を行います。
薬剤の填入
根管治療を行った根管内部に、歯の漂白剤を填入します。1-2週間で効果が表れます。効果が足りない場合は薬剤の交換を行います。
穴の封鎖
漂白剤を入れていた穴を洗浄、封鎖して治療を終わります。
ウォーキングブリーチのメリット・デメリット
ウォーキングブリーチのメリット
●効果が得られた場合、大きく色を変えることが期待できます。
●歯を削らない処置なので、ご自身の歯を多く残せます。
●削って被せる治療よりも費用を抑えることができます。
ウォーキングブリーチのデメリット
●治療中は歯の内圧が高まるため、まれに痛みが出る場合があります。
●漂白剤の影響で歯が内部吸収を起こす可能性があります。内部吸収を起こした歯は、割れるリスクが高まります。
●歯質が弱い、あまり残っていない場合には適応できない場合があります。
●白くなった歯も後戻りすることがあります。
